Dr. Jonathan Valdez
Dr. Jonathan Valdez

Soy Ginecólogo con subespecialidad en Medicina Materno Fetal, principalmente dedicado a embarazos de alto riesgo. Estudié en la Facultad de Medicina UANL y me especialicé en Ginecología y Obstetricia en el Hospital Universitario de Monterrey. La Subespecialidad la realicé en el Hospital Ginequito avalado por la UdeM.

Un embarazo de alto riesgo es el que tiene factores asociados que pueden afectar negativamente a la salud de la madre o del feto. Un buen control prenatal y detección oportuna de factores de riesgo resulta clave para tener un embarazo sano
Opiniones de pacientes reales que hemos atendido en estos últimos años
Algunas preguntas frecuentes que pueden presentarse

Cada cita se interrogan factores de riesgo, signos y síntomas que pudieran complicar tu embarazo, revisamos tu peso y tu presión arterial, y por cada cita se realiza una ecografía completa de tu bebé.
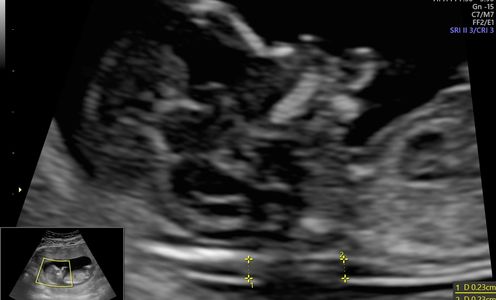
Existen diferentes tipos de ecografías que deberán realizar por un Sub Especialista en Medicina Materno Fetal
Se recomienda una vez al año en pacientes sanas para determinar la salud femenina. Se realiza eco ginecológico, exploración de mama y Papanicolaou.
Consejería para que puedas adoptar el método anticonceptivo de acuerdo a tus necesidades, expectativas reproductivas y estado de salud.

También conocido como eco 11-14 o genético. Se realiza entre la semana 11 y 14 para identificar datos que nos hagan sospechar sobre enfermedades genéticas, como Síndrome de Down.

Estudio que se realiza entre la semana 20 y 30 de gestación; sirve para valorar crecimiento, órganos y estructuras de bebé. Se realiza para detectar malformaciones congénitas.

Eco que evalua el flujo de sangre por los vasos sanguíneos maternos y fetales. Su principal uso es en caso de que se sospeche problemas en el crecimiento de bebé.

Se realiza entre la semana 32 y 36. Se revisa de manera general a bebé principalmente para valorar peso fetal, placenta, cordón umbilical y líquido amniótico. Debido a la cantidad de calcio que hay en este periodo, la información que se obtiene no es tan detallada como en el eco anatómico.
Dr. Jonathan Valdez
Hospital angeles piso 12 consultorio 1207 av. lazaro cardenas 401 col. valle oriente c.p. 66260 san pedro garza garcia, n.l.
telefono 81 29 10 90 31
Copyright © 2020 Dr. - Todos los derechos reservados.
Este páginas web utiliza cookies Al seguir utilizando este páginas, aceptas nuestro uso de cookies.